
HYPOTHYROIDISM
March 15, 2023
URINARY TRACT INFECTION OR KIDNEY INFECTION?
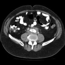
March 20, 2023When too much fibrous tissue grows in the retroperitoneal area, which is the region between the stomach and intestines, it results in retroperitoneal fibrosis, also known as Ormond’s disease. The major artery that carries blood from the heart to the regions below the kidneys is called the abdominal aorta. Although, it frequently appears between ages 40 and 60, retroperitoneal fibrosis typically affects adults rather than youngsters. Moreover, it affects men more frequently than women.
The cause of Retroperitoneal Fibrosis is sometimes not known but several different factors could play a part in it. Complication of medications, infection, tissue damage due to trauma or surgery, radiation therapy and cancer are some of the risk factors of Retroperitoneal Fibrosis.
The symptoms of Retroperitoneal Fibrosis are often not specific. However, when symptoms do occur, the more common ones are abdominal pain, flank pain, lower back pain, Weight loss, Joint pains, Fevers / night sweats, Recurrent urine infections, Loss of appetite, Nausea, Vomiting, Lack of energy, Difficulty moving legs.
Most people with Retroperitoneal Fibrosis live a normal life but there may be complications such as anemia, inability to urinate, kidney disease and high blood pressure.
Diagnosis for Retroperitoneal Fibrosis can be done through renal function tests, liver function tests and biopsy.
The treatments include surgery, stents, medication management, immunomodulator and corticosteroids.
Preventive measures of Retroperitoneal Fibrosis is living a healthy lifestyle (regular mild exercise, achieving ideal body weight, avoidance of smoking and following a nutritious diet).
Visit MedBioTech for reliable and accurate laboratory tests.
References:
my.cleverandclinic.org
www.healthline.com
www.ukkidney.org

